Les implants dentaires
ÉTUDE PRÉLIMINAIRE

En fonction de la complexité de votre cas l'étude comprendra divers examens:
- Examen buccal
- Radiologie panoramique
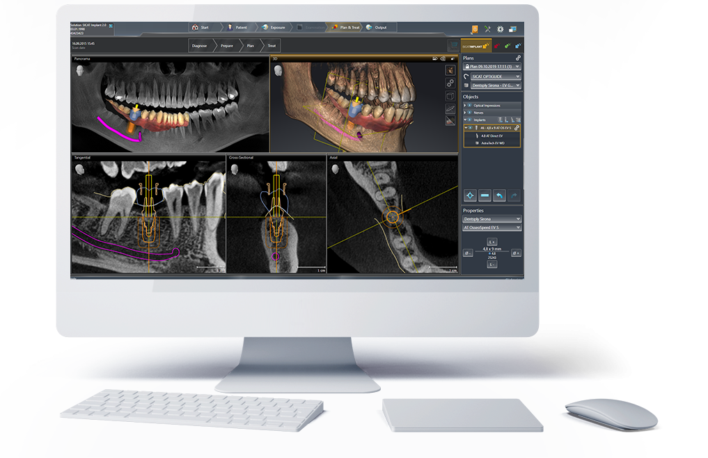
- Scanner maxillaire
- Empreinte digitalisée
Un diagnostic précis sera établi afin d'instaurer un dialogue qui nous permettra d'examiner l'ensemble des solutions que nous pouvons vous proposer, leurs implications ainsi que leurs coûts.
L'Ordre des Médecins en Belgique condamne la publication de photographies de résultats à des fins publicitaires, c'est la raison pour laquelle vous n'en voyez pas sur notre site.
Exemple de repositionnement de l'implant par rapport au nerf






